المقالات الطبية تحت إشراف وكتابة أفضل الأطباء والأخصائيين
تعرف في هذه المقالة على طرق توريد الشفايف
قم بقراءة المقالة وتعرف على تقويم الاسنان . ما هي مدة تقويم الاسنان؟
قم بقراءة هذه المقالة وتعرف على اهم جسر الاسنان وهل تركيب جسر الاسنان اجراء مولم
تعرف في هذه المقالة على طرق التخلص من الفلجة او ما يسمى الفراغات بين الاسنان
تعرف في هذه المقالة على انحسار اللثة وما هو اهم اربع طرق للوقاية منها.
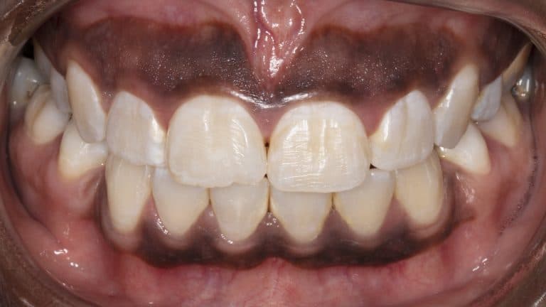
تعرف في هذه المقالة على اهم اسباب وطرق علاج اللثة الداكنة
تعرف في هذه المقالة على اهم اسباب سقوط حشوة الاسنان
تعرف في هذه المقالة على اهم (10) خاطئة يفع فيها معظم الناس عليك تجنبها وتضر بصحة اسنانك