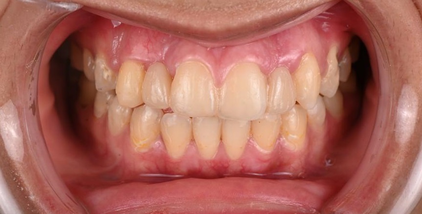
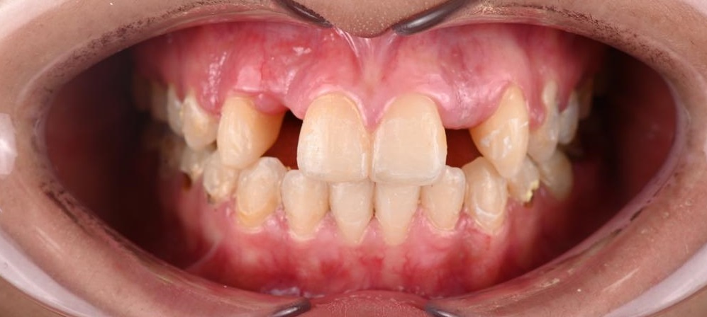
طبيبة أسنان حاصلة على بكالوريوس طب الأسنان من جامعة تشرين سوريا، خبرة أكثر من عشرين عام في علاج وتجميل الأسنان، حاصلة على دبلوم متقدم في علاج جذور الأسنان، حاصلة على كورس متقدم في تجميل الأسنان وتصميم الابتسامة.
المركز مريح ونظيف،ومعاملة بنات الإستقبال كتير راقية ولطيفة، والدكتورة إسراء تجنن وأسلوبها وتعاملها كتير حلو ومحترم.
بصراحه افضل دكتوره بتعامل معاها وانا بتعامل معاها من سنين كثيره ومتعاونه وشغلها مرا مريح ومرن يدها خفيفه ماشاء الله
مركز رائع من كل النواحي
دكتورة متميزة
الطبيبة ممتازه
خالص الشكر والتقدير للدكتورة إسراء الخطيب ،،، عملٌ مُتقَن إخلاص ومهارة ،،، رقيٌّ في التعامل أرجو لها دوام التوفيق ،،،،
سلمت الايادي
لايوجد
لم يتم التواصل معي بخصوص الموعد الا بعد اتصالي مع العلم انه تم الشرح لي انه سيتم التواصل بعد ارسال المعمل ....
من افضل الدكاترة اللي تعاملت معهم ، ايدها خفيفه وغنية بالنصايح ماشاء الله.. المنسقة كمان متعاونه وسهولة لتواصل
سرعة الخدمة مع الجودة العالية
مريحة جدا الدكتورة الله يعطيها العافيه
طبيبة ممتازة ومتمكنة وخدمة أكثر من رائعة
بكل امانه كل مازور العياده تيم الاستقبال بيكون بشوشين واسلوبهم جداا راقي الله يعطيهم الف عافيه وشكراا لدكتوره اسراء افضل دكتوره بتعامل معاها شغلها جداا جميل
الدكتوره ممتازه ومتمكنه
دكتورة متمكنة وممتازة