دكتور-زراعة-اسنان-جدة-ينبع

طلال الحفار

الأسنان أخصائي جراحة الفم والفكين وزراعة الأسنان إحجز الآن

طلال الحفار

أخصائي جراحة الفم والفكين وزراعة الأسنان

+٢٨ سنة

عن الطبيب

• ⁠التخصص

جراحة الفم والوجه والفكين وزراعة الاسنان

• ⁠سنوات الخبرة:

٢٨ سنة

• عدد الحالات: 

800 حالة سنوياً في مجال زراعة الاسنان وجراحة الوجه والفكين

مجالات الخبرة:

• جراحة ازالة أضراس العقل المنطمرة

• عمليات زراعة الاسنان الفورية والتقليدية

• عمليات البناء والترميم العظمي

• اعادة تأهيل الفم كاملا

• جراحة ازالة الأورام والأكياس الفموية والوجهية

الفروع

icon فرع الروضة
icon فرع ينبع
icon فرع الحمراء

الخدمات

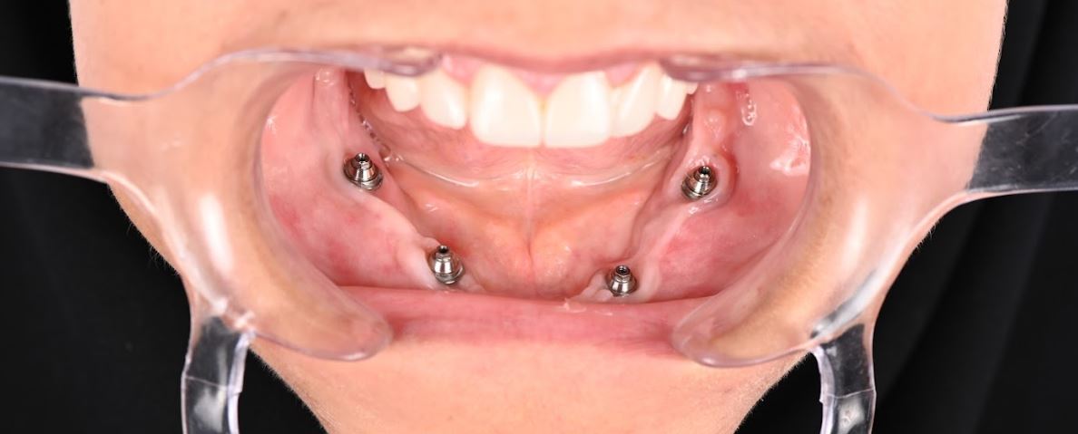
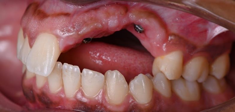
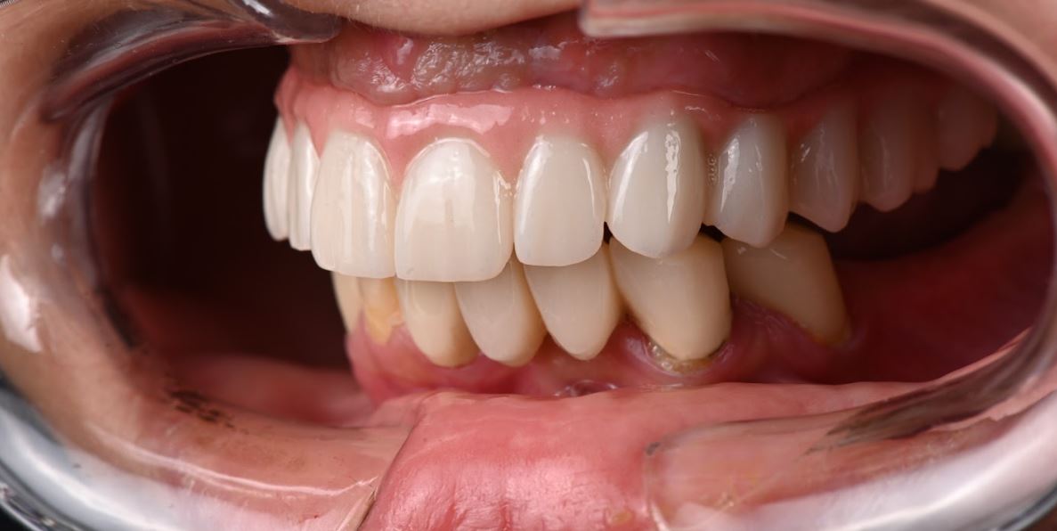
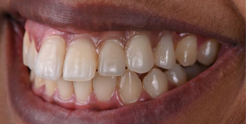
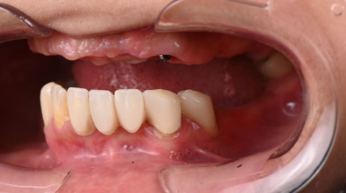
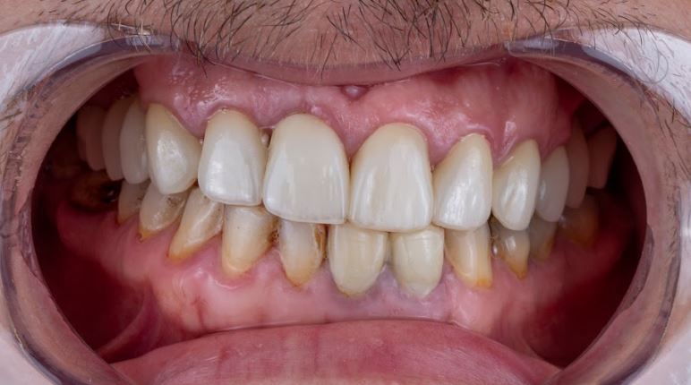
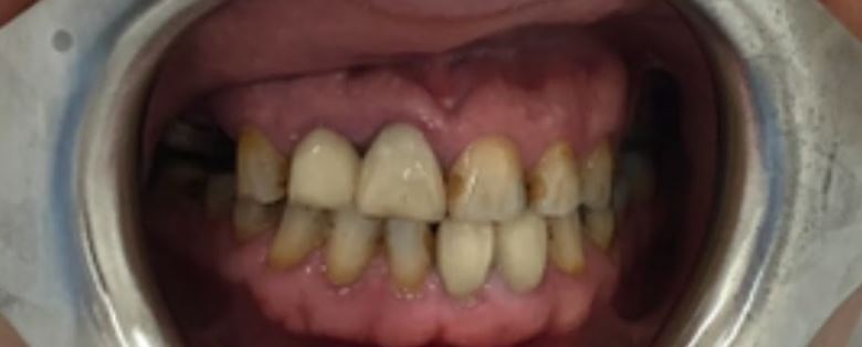
حالات قبل وبعد

before after
dr name

طلال الحفار

الأسنان
before after
dr name

طلال الحفار

الأسنان
before after
dr name

طلال الحفار

الأسنان
before after
dr name

طلال الحفار

الأسنان
before after
dr name

طلال الحفار

الأسنان
before after
dr name

طلال الحفار

الأسنان
before after
dr name

طلال الحفار

الأسنان
before after
dr name

طلال الحفار

الأسنان

آراء العملاء

الدكتور طلاال الحفاااار بطللل انصح فيه اللي يبي يخلع اسنانه و لا يسوي زراعه شااااطر ما حسيت بالم ولا نقطه الم الدكتور فنااااان

habiba Abdullah

دكتور طلال افضل جراحي فك و زراعه اسنان

MEME

Hello world

ahmed

المركز من الرجة الممتازة VIP

محمد حسين البادي

شكرا لكم

ميرال

انا عند الدكتور طلال زراعه / زائر لينبع وكذالك الدكتور وسيم / فرع ينبع

فواز احمد الرحيلي

الخدمة راااائعة والطبيب جدا ممتاز

هدى حكمت فرج

نشكر الدكتور طلال على جهده وعمله المخلص تجاه مرضاه علما باني لست الوحيدة في العائلة من قامت بزراعة الأسنان لديه بل كانت الوالدة والوالد والكل يمتدح شغله فله منا خالص الدعاء.. جزاه الله خيرا .

ثريا محمد العمري

افتخر في المر كز شيء يشرف وخاصة الطبيب طلال الحفار ونعى الطبيب والجراح

محمد حسين عبدالله

الدكتور طلال مخلص بعمله وانسان خلوق وامين ويخاف الله اتعامل معه من ١٥ سنه عمله متقن ولم ولن اجذ مثله ابدا من خلال تجاربي انصح اتعامل معه ماشاءالله تبارك الله بالذات الزراعه والخلع اللهم بارك اللهم بارك حقيقي كل مااسمع وحده تريد زراعه ادلها عليه اكسب دعوه مهما قلت ومهما عبرت قليل بحقه الدكتور الكريم الفاضل الله يوفقك ويسعدك كما تسعد المراجعين بنجاحك وحسن تعاملك معاهم ٠٠٠٠

ايمان عبدالله عمر باوزير

اشطر دكتور مر علي في حياتي و اخف يد ماشاء الله ربي يبارك له في عمره

ندئ

دكتور رائع ومتهم بالمريض وتعامل روعه وشغل جداً محترف

عايشه صالح العمري

عيادة جويل من أفضل العيادات من حيث المواعيد والنظافه والتنسيق ومن ناحية الموظفين تعاملهم رائع الاستقبال والاطباء على مستوى عالي من العلم والأمانة فجزاكم الله خير الجزاء

سوسن عبدالله الجمحان

عيادات جويل الطبية صرح طبي مميز جدا من اطباء على خلق عالي رفيع وكفاءة طبية عالية المهارة ( الاخ الدكتور طلال ) كذلك ادارة المواعيد والمتابعة عالية الدقة أول بأول. شكرا على القائمين على هذا المجمع واتمنى لكم التوفيق والنجاح

سعيد حامد المحمادي

ماشاء الله الدكتور جداً ممتاز

هنادي الجهني

دكتوره إسراء قمه في الرقي وفي شغلها جدا ممتازه دكتورتي المفضله للامانه

هيفاء عبدالحميد السليماني

الخدمه ممتازه

وليد عبدالرزاق عبدالقادر اشقر

اولا: جزاء الله الدكتور طلال الحفار على اخلاصه وابداعه في عمله وامانته وصدقه مع المرضى والمراجعين مع فريق عمله من دكاتره والطاقم الطبي ..، زاده الله ومن معه رفعة ومقاما بالدنيا والاخره وخلاصة الرأي: مواصلة هذا التميز والسمعه الطيبه والمحافظه عليها ،،، لان هذا الامر يصعب احيانا لدي البعض وفق الله الجميع لمايحبه ويرضاه

محمد عوده المحلبدي

ماشاءالله تبارك الله عمل منطم ، دقة في العمل، امانه واخلاص، حسن تعامل مع المرضى والمراجعين تميز بالاداء ، تميز بالسمعه لدي افراد المجتمع يجب المحافظه عليه وفق الله الجميع لمايحبه ويرضاه

محمد عودة المحلبدي

اتقدم بكل الشكر والعرفان انا واسرتي للدكاترة دكتور طلال حفار والدكتور ماهر توما والدكتور وسيم لما رايته من خلق وتعامل ومتابعة منهم لما تقتضيه المصلحة العامة حيث ولله الحمد لم ارى اي مشاكل معي او اسرتي وهذا يدل على المهارة العالية لديهم كما اشكر الاداريات الهام ونوال في قسم المواعيد والمتابعة على الجهد المتميز

Saeed alHarbi

فخوورا جدآ في مركز جويل الطبي التخصيص مع الطبيب المعالج الدكتور طلال الحفار على مهارته الطبيه وعمله النظيف ومهارته الطبية

محمد حسين عبدالله

ماشاء تبارك الله مهارة وخفة وإتقان بارك الله فيه وزاده من فضله

عائشة باوزير

ماشاءالله تبارك الله وجزاكم الله خيرا عمل مميز تشكرون عليه،،، دقة في العمل والاداء ،،، العمل بروح الفريق الواحد بدءا من الاستقبال والممرضات وعمل الدكاتدره فهذا يدل على حس القيادة والاداره المتمثله بمديرها الخلوق ذا الحسنالاداري المميزز الخلاصة والرأى: الاستمرار في التميز والسمعه الطيبه والعمل على خفض الاسعار مرعاة للفروق الفرديه بين اطياف المجمتع،،،وجزاكم الله خيرا على كل خدماتكم لابناء هذا الوطن وضيوفه ،

محمد عوده المحلبدي
إحجز الآن