Basem Istanbuli

Basem Istanbuli

Dental Orthodontics Specialist Book Now

Basem Istanbuli

Orthodontics Specialist

2

About Doctor

Basem Istanbuli

Branches

icon Yanbu Branch
icon Al Hamra Branch

Services

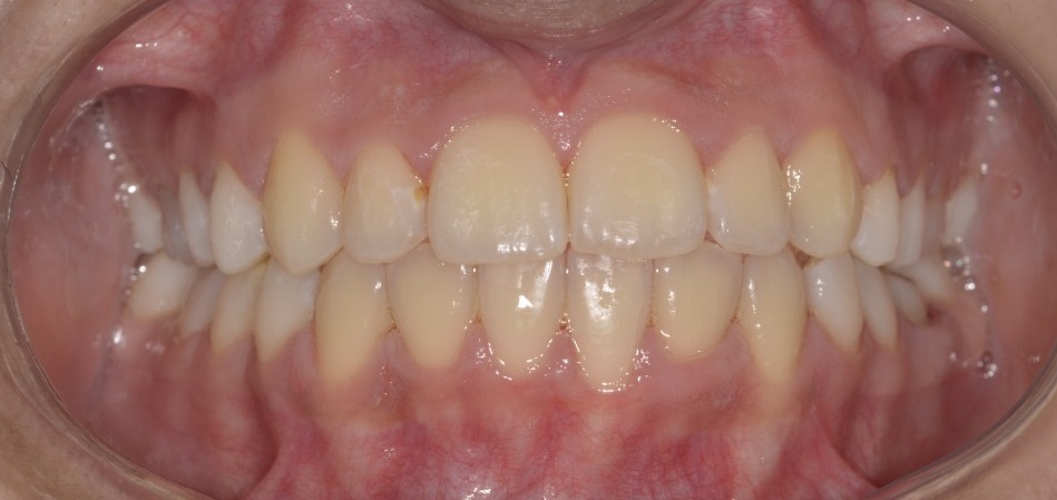
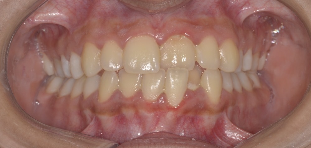
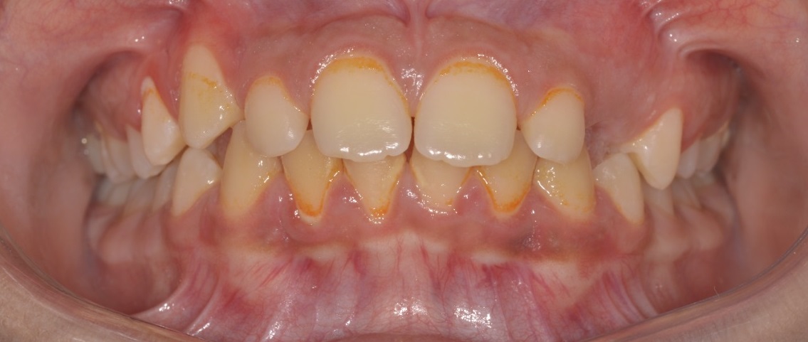
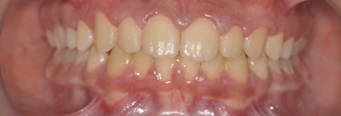
Cases Before And After

Customer Reviews

My daughter is his patient. Dr. Bassem is highly professional and dedicated individual.

Eng. ARIF ALI REHMAN

ممتاز جدا من افضل الدكاتره وباله طويل

اعتدال السويهري

شكراً

Mashhour ALjuhani

طبيب متكمن في تقويم الاسنان وذو خبرة عالية فيها

عادل عطية الله المحمادي

الخدمه جدا ممتازه شكرا على كل شئ وشكر خاص للدكتور باسم يعطيكم العافيه جميعًا الله يسعدكم يارب ، شكرا

عبدالرحمن عبدالله البلوي

يعطيهم العافية على الخدمات الراقية والتعامل الجيد وكذلك ألف شكر للدكتور باسم على احترافيته وتمكنه من عمله

امنه الزبيدي

دكتور باسم فوق التقييم ❤️

عهد محمد جمعة الصبحي

عمل رائع منظم جزاكم الله خير

عبدالله الزهراني

يعطيكم الف عافيه على الخدمه الممتازه والاتقان في العمل والدقه في المواعيد

(أيه،عبدالله )أيمن طاهر

الدكتور باسم دكتور رائع اعرفه من 14 سنه

رضوان عياد الاحمدي

خدمه ممتازه وتعامل الطبيب رائع

ايوب الزبيدي

متعاون جدا

نجوى محمد

فريق العمل كامل قمه الرقي في التعامل ،. الدقه والإنجاز السريع والحرص على وضع الشخص بالصوره اول بأول لحرصهم على رضا العميل ،. وحرصهم على التذكير للمواعيد ،.

Reham

الدكتور ممتاز وعلى خلق وتعامل راقي جدا متعه الله بالصحة والعافية،،،

سارة عبدالرحيم الحربي

أشكر الدكتور باسم على اهتمامه و حسن تعامله. ارجوا اضافة اختيار تقييم موظفي الاستقبال للارتقاء الى مستوى افضل في خدمة الاستقبال

محمد سعيد محمد

خدمة ممتازه

عبدالعزيز ابوطالب

الدكتور باسم ..حسن خلق و كفاء متعاون و متفهم جداً.

حاتم

الدكتور جيته ع سمعته الحلوه في ينبع شغله حلو جدا في التقويم كثير يمدحونه والحمد لله يده خفيفه جدا وبدايه موفقه معه

اغاريد حسن المصعبي

كشف واستشاره

نايف عوده المحياوي
Book Now TESTER